Casos clínicos
Rehabilitación Dental Total
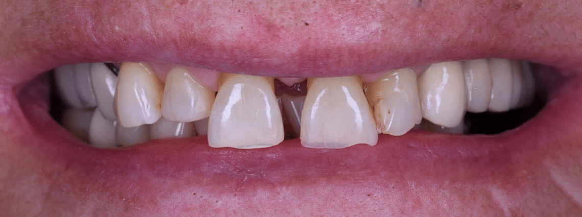
Carillas y Coronas de Circonio
Tratamiento de prótesis dental fija sobre dientes naturales del paciente utilizando carillas y coronas de circonio (sin metal) para una completa rehabilitación.
Before
After


Rehabilitación Dental
Carillas de Composite
Tratamiento de estética dental realizado con carillas dentales de composite para mejorar la apariencia de los dientes de la paciente.
Before
After


Rehabilitación Dental
Carillas de Porcelana
Tratamiento de rehabilitación dental con prótesis dentales fijas sobre los dientes naturales de la paciente para una mejor apariencia y oclusión.
Before
After


Primera visita gratuita y facilidades de pago
La primera visita es totalmente gratuita, sin compromiso. Además, contamos con planes de financiación a medida, para que puedas acceder a cualquier tratamiento sin que el precio sea un obstáculo.